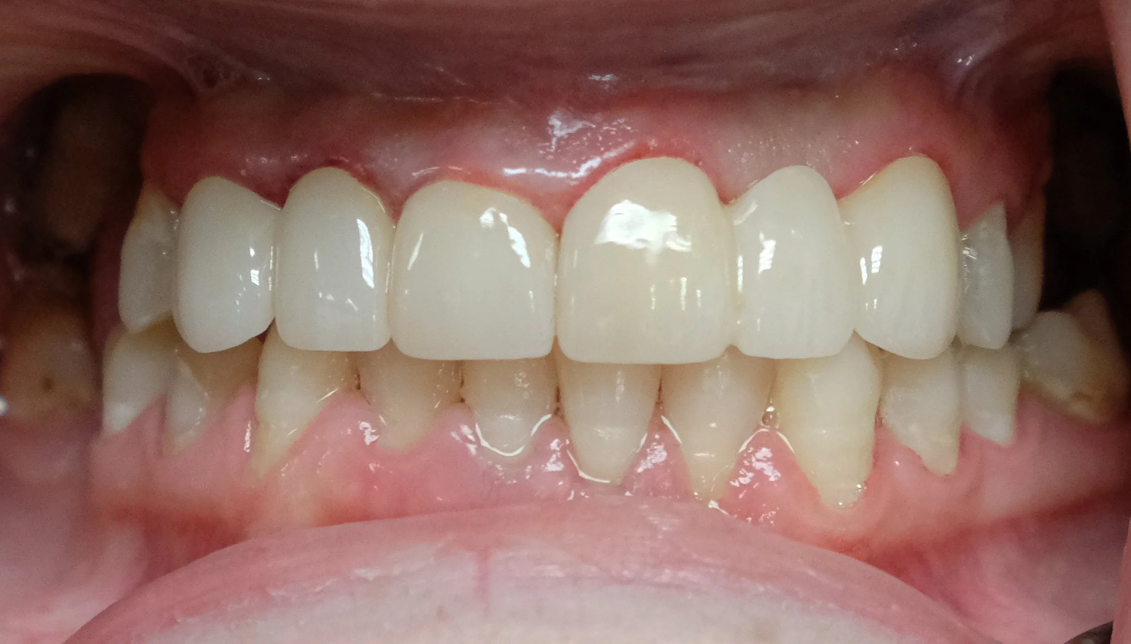
Lisa’s Story May 22 Written By Jubilee Chen “I want someone to see me, not my teeth” Before After Jubilee Chen
Lisa’s Story May 22 Written By Jubilee Chen “I want someone to see me, not my teeth” Before After Jubilee Chen